Skip Menu
Continue

9336 Blakeney Centre Drive, Suite 100A, Charlotte, NC 28277
(704) 271-5223
Logo
  • Home
  • About Us
    • Our Office
    • New Patients
    • Smile Gallery
    • Dental Videos
    • Testimonials
  • Our Team
  • Services
      • Ceramic Crowns
      • Cosmetic Dentistry
      • Dental Bridges
      • Dental Cleanings
      • Dental Fillings
      • Dentures
      • Emergency Treatment
      • Extractions
      • Implant Restorations
      • Invisalign®
      • Night Guards
      • Oral Cancer Screening
      • Oral Exams
      • Pediatric Dentistry
      • Periodontal Treatment
      • Preventive Program
      • Root Canals
      • Sedation Dentistry
      • Teeth Whitening
      • Veneers
    • View All
  • Dental Health
  • Contact
    • Contact Us
    • Request Appointment

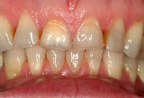
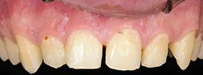
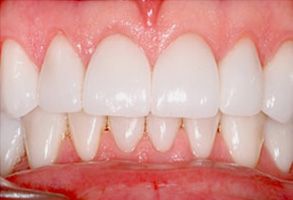
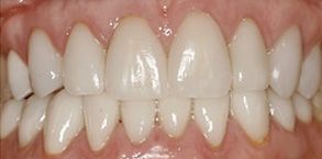
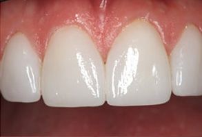
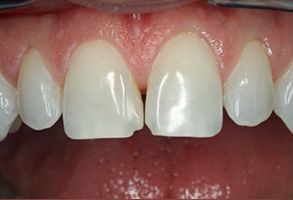
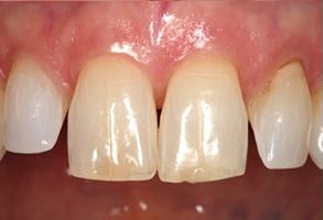
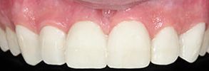
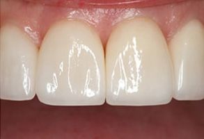
Smile Gallery

9336 Blakeney Centre Drive, Suite 100A
Charlotte, NC 28277